深圳中山妇产医院 妇科
|
2026.02.14
你有没有过这样的困扰:
月经量特别大,一动就怕“侧漏”
明明没干什么体力活,却总是头晕乏力
B超医生说“宫腔里有个小东西”,让你整天提心吊胆
别担心,其实这些可能都是身体在提醒你:该注意了!
那么今天,我们就跟着妇科陈雅文医生的视角,看看这根被称为“体内侦探”的宫腔镜,是如何轻松解决许多女性难言之隐的。
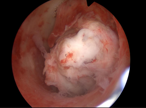
一个“山竹”引发的贫血
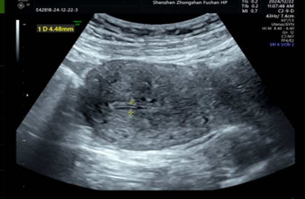
那天,35岁的李女士慢慢推开诊室门,脸色苍白,走路都有点晃。她把B超单递给我,有气无力地说:“医生,我这半年月经量太大了,现在走几步就头晕,检查说是贫血。”
我一看报告,写着“粘膜下子宫肌瘤,5cm大小”。考虑到她还打算要宝宝,我们决定用宫腔镜来切除这个肌瘤——这种方式对子宫伤害最小,不影响以后怀孕。

手术时,通过宫腔镜,我们清楚地看到了那个“罪魁祸首”——它圆滚滚的,像个饱满的山竹,正好堵在宫腔里。

手术很顺利,我们把肌瘤完整取了出来。才过了3个小时,李女士就能自己下床走路、吃饭了。她特别惊讶:“我以为肯定要开一刀,没想到这么轻松!”
一个月后她来复查,贫血已经好多了,月经也恢复正常。她特意带了老家的特产来感谢,满脸笑容地说:“现在再也不用随身带一堆卫生巾了,终于敢和同事去爬山了!”

其实在妇科门诊,像李女士这样的情况很常见。很多你以为很严重的问题,现在通过宫腔镜都能轻松解决。
除了肌瘤,这些情况也可以找宫腔镜
借着李女士的例子,我们再来细数一下,宫腔镜还能解决哪些问题:
异常子宫出血:月经不规律、经期延长、绝经后出血等;
宫腔占位病变:如子宫内膜息肉、内膜增生、粘膜下肌瘤等;
不孕不育排查:检查宫腔形态、输卵管是否通畅,找反复流产的原因;
宫腔粘连分离:精细分离粘连组织,为内膜生长腾出空间;
宫腔残留物清理:如流产不全、宫内节育器异常定位等;
术后复查:如粘连分离术后看内膜恢复情况;
子宫畸形评估:如纵隔子宫的分类与诊断;
幼女阴道异物或占位检查等。
作为医生,开心的就是看到患者摆脱烦恼,重展笑容。很多女性在做宫腔镜之前都会紧张,但做完后都说:“原来一点都不可怕!”“早知道这么简单,我就不用难受这么久了!”
如果您也在被月经问题困扰,或者B超检查发现了什么“小状况”,别一个人瞎想,更别硬扛着。现在医学很发达,很多问题都能轻松解决。
悄悄说一句:
很多女性在做完宫腔镜后都会感叹:“原来没那么可怕!”“早知道这么轻松,我就不拖这么久了!”你,是不是也该给自己一个“轻松”的机会?