深圳中山妇产医院
|
2025.10.21
你以为试管婴儿就是“取卵+移植”那么简单?
No,no,no!
在见到妈妈之前,
你的胚胎宝宝其实在实验室里经历了一场精彩的“闯关大冒险”!
而实验室里的胚胎学家们,
就是为宝宝们保驾护航的“超级奶爸奶妈”!
今天,咱们就悄悄溜进这个神秘的“生命初炼厂”看看吧!
开始的一站:入住“恒温恒湿无敌景观房”
胚胎宝宝可不住在普通环境里。它们一进入实验室,就会被立刻送入顶级套房——胚胎培养箱!
绝对舒适:这个套房厉害在哪?它恒温、恒气体、恒湿度,完美复刻妈妈体内最舒适的环境,杜绝一切光、热、声的干扰。宝宝在这里,只有一个任务:安心干饭,努力长大!
隐形守护:胚胎学家就是贴心的“管家”,他们会默默在外部监控所有环境数据,确保豪宅的“物业”万无一失。这才是真正的“静音级”守护啊!

第二关:喝上“定制营养餐”
小胚胎们长大也是要吃饭饭的!它们的饭可不是普通盒饭,而是科学家们精心调配的 “胚胎专属营养餐”——培养液。
配方超讲究:这里面有各种能量物质、氨基酸、维生素,甚至还会添加一点“抗氧化剂”,就像给宝宝们穿上了一层"防弹衣",保护它们不受外界环境的干扰,茁壮成长!
土壤好不好,关键看肥料!这杯“营养餐”就是胚胎宝宝们能否成功升级的关键!
第三关:“学霸”才能晋级决赛圈!
并不是所有胚胎都能走到最后。实验室里也有一场残酷的“自然选拔赛”。
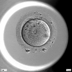
普通选拔:以前是定时拿出来在显微镜下“拍个照”,看谁长得好看(形态好)就选谁。但这样很容易错过细节,有些“照骗”宝宝可能实际发育得并不好。
“天眼”选拔:现在有了时差培养箱的“纪录片”,胚胎学家能看清每个宝宝的全过程。那些分裂节奏好、又稳又快的“学霸”胚胎就会被选中!这就大大提高了选中“真王者”的概率!
通常,我们会把宝宝培养到第5-6天,变成结构更复杂的“囊胚”。能练成“囊胚”的,都是潜力股,移植进妈妈子宫后成功率自然就更高啦!

总结一下啦!
所以,试管婴儿的成功,不仅仅是医生的功劳,更有一整个实验室团队在默默付出,为你的胚胎宝宝保驾护航,筛选出最棒的“冠军”送到妈妈身边!
每一次成功的妊娠,都是临床医生和实验室专家们爱的"合谋"!
