国内首创 | 新项目正式上线
“睾丸组织生精细胞数字化分析”
从“看得见”到“数得清”,精准识别每一颗“种子”
精“数”诊断,精准取“精”
无精子症是男性不育诊疗的重点和难点。在无精子症的诊治过程中,睾丸病理诊断对于明确睾丸生精功能、预测穿刺取精或显微取精的获精率、制定相应的治疗方案和预测疗效,具有不可替代的指导价值。
长期以来,国内的睾丸病理诊断一直存在着报告格式不统一、主观性强、诊断一致性差、生精细胞定量分析数据缺乏等诸多问题,给临床医生带来了一定的困扰。为了解决上述问题,为临床医生提供更高级别的诊断依据,我院科研团队经过多年刻苦攻关,终于在近期推出了国内首个创新性睾丸病理分析项目——“睾丸组织生精细胞数字化分析”。
这项技术的推出,标志着睾丸病理分析从单纯的“看得见”迈向了“看得准、数得清”的新阶段,将为无精子症患者的精准诊疗提供更强有力的支持。
01 / 技术背景 睾丸病理也有难以分析的特殊情况
许多无精子症的病友都曾接受睾丸活检——通过穿刺针吸或切开方式,取少量睾丸组织送病理检查(如图1),以判断其中是否含有“种子”(生精细胞),从而评估睾丸的生精功能。

图1 睾丸活检病理过程示意图
病理医生可以从常规的睾丸病理切片(HE染色)中识别各类生精细胞(如图2),并依据个人经验做出病理诊断。但在实际工作中,单纯依靠人工镜下观察,暴露出主观性强、诊断一致性差、缺少定量分析等弊病。


图2 生精功能正常的睾丸病理分析模式图(上)和显微镜下的图像(下)
为了优化睾丸病理诊断技术,我院科研与生殖男科团队经过多年技术攻关,成功研发“睾丸组织生精细胞数字化分析”技术,在国内率先实现对睾丸生精细胞的精准识别与定量分析,完成了从“形态学观察”到“数字化定量”的跨越。
02 / 技术核心 精准、客观、可量化的数字化分析体系
(1) 精准识别标志,为生精细胞找到专属“身份证”: 科研团队通过文献调研,筛选、验证了能准确标记三类关键生精细胞(精原细胞、精母细胞、精子细胞)的特异性标志物,使该技术对生精细胞识别的准确性超过90%,并建立了相应的检测分析体系,检测体系的批间重复性以及不同操作人员分析结果之间均具有良好的一致性(无显著差异)。
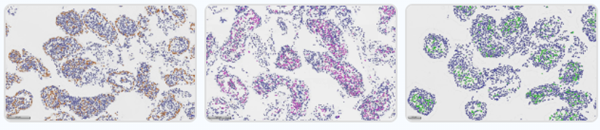
(2) 特异性染色标记,给生精细胞“染色标记”: 在睾丸活检组织切片上,采用免疫组化技术给这三类生精细胞分别染上特定颜色的标记。染色后,睾丸生精小管内各类生精细胞的种类、分布及数量一目了然。

图3 精原细胞(左,棕色)、精母细胞(中,玫红色)和精子细胞(右,绿色)
(3) 人工智能精准计数,生精细胞能“数清楚”: 将染色后的切片采用全景数字化扫描,并通过智能分析系统自动识别、区分并精确统计出各类生精细胞的具体数量,计算每类生精细胞的占比。

图4 用于睾丸组织生精细胞数字化分析的全景数字化扫描设备及其智能分析系统
03 / 临床价值 为无精子症的精准诊断与治疗提供新依据
诊疗依据更充分: 睾丸组织生精细胞定性及定量分析数据,为临床诊断、病情分析及治疗方案的制定提供更客观、更准确的依据。




适用人群与检测流程
本检查适用于未接受睾丸活检术的无精子症患者,或虽已接受睾丸活检,但常规病理报告诊断信息有限,需进一步精确量化评估的无精子症患者。
检测可利用既往活检保存的石蜡组织块或切片进行,无需再次手术取材,与常规病理检查相结合,实现诊断信息的互补与完善。
精准诊断是有效治疗的前提。如您希望进一步了解是否适合此项检查,可咨询您的主诊医生,或通过以下方式联系我们:
专属咨询专线:0755-88361001