月经量大到贫血?别硬扛!
看看李女士如何靠“钥匙孔”手术,
摆脱肌瘤困扰,满血复活。

一、李女士的“血崩”历险记:宫腔镜巧解肌瘤
35岁的李女士最近半年简直成了“卫生巾大户”,月经量多到吓人,走两步就头晕眼花,一查——贫血了!
罪魁祸首?
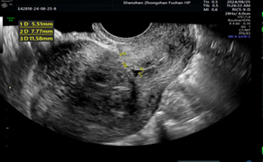
超声报告上写得明明白白:粘膜下子宫肌瘤,足足5cm大!

医生团队一看:
开腹?
虽然稳妥,但李女士还有“造人”计划呢!
为了最大程度保护她的“小房子”(子宫健康),不影响未来当妈妈,果断推荐了宫腔镜微创手术——创伤小、恢复快、保生育!
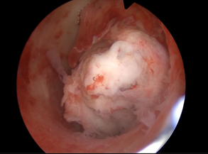
手术现场直击:
宫腔镜探头轻轻进入,那颗捣乱的肌瘤原形毕露——个头不小,像个饱满的“山竹”,大半个身子都“赖”在宫腔里。
医生稳准狠,用专用器械一点点把肌瘤剥出来。
手术超顺利!
术后才3小时,李女士就能下床溜达、吃嘛嘛香了!“啊?这就结束了?我以为要‘挨大刀’呢!”出院时,她脸色红润,和入院时判若两人。

一个月后复查:
贫血?拜拜!月经期也乖乖缩回正常的5天。
李女士开心地带着谢礼来:“现在爬山、逛街说走就走,再也不用随身背‘炸药包’(厚卫生巾)啦!”

划重点:
像李女士这样,月经乱、贫血、B超发现宫腔“不速之客”?
别慌!
宫腔镜就是妇科医生的“火眼金睛”+“巧手”,专治各种“宫”里不服!
二、宫腔镜:不止能“除瘤”,这些妇科难题它也能KO!
别以为宫腔镜就只会对付肌瘤,它的本事大着呢!
快看看它能解决哪些让你头疼的妇科问题:
异常出血大排查:
月经不听话(乱来、拖尾)、绝经后“见红”?揪出幕后黑手!
宫腔“占位”快清理:
B超照出息肉、内膜增生、小肌瘤?宫腔镜下看得清、取得净!
好孕拦路虎?查它!
怀不上、老流产?宫腔镜直击现场:看子宫“房子”结构正不正、输卵管“大门”通不通!
宫腔粘连别担心:
“墙壁”粘住了?医生镜下精细“松绑”,剪掉瘢痕,给内膜腾地儿长!
宫腔“残留”一扫光:
流产没干净?节育器“迷路”?精准定位,轻松搞定!
术后复查好帮手:
比如粘连分开后,看看“新房客”(内膜)长得好不好?
子宫畸形“大侦探”:
纵隔子宫?下生殖道长得怪?分类评估,一目了然!
幼女病因追踪器:
小女孩阴道有异物或异常?安全探查,找出原因!
医生最开心的,就是看到姐妹们像李女士一样,
用先进技术摆脱烦恼,重拾自在生活!如果您也有:
月经“失控”,
B超提示宫腔“有情况”,
备孕路上磕磕绊绊...
别犹豫!赶紧找专业医生聊聊!
精准检查+合适治疗(比如宫腔镜),为您的健康实力护航!
